一般歯科・審美歯科
一言で「虫歯」といっても、進行状態によって大きさや症状は様々で、それに合わせて治療法が変わります。
CR修復
CRとは歯科用の歯と同じ色の白い樹脂の詰め物のことを言います。 症状のない小さな虫歯や、古い劣化した小さな金属の取替えに使用します。

インレー修復
インレーとは、CRでは対応できない、歯と歯の間にまたがった大きめの虫歯の治療の際に詰める詰め物のことを言います。
虫歯を削った後に歯型を取って後日、歯科技工士が作ったインレーを歯科用セメントで装着します。
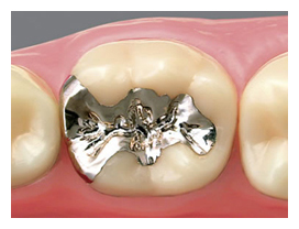
- 金属インレー ※保険適用

- ハイブリッドインレー ※自費診療

当院では、保険内でできる金属インレーの他に、自費で見た目が白く自然できれいなハイブリッドインレーもご用意しております。
詳しくは当院医師、またはスタッフまでお尋ねください。
クラウン修復
保険適用
クラウンとは、インレーでは対応できない面積の広い虫歯や、神経治療をした歯に対して被せる被せ物のことを言います。
- 金属クラウン(奥歯)

- ハードレジンクラウン ※前歯のみ保険適用

自費診療
当院では、保険内でできるクラウンの他に、自費で見た目が白く自然できれいなハイブリッドクラウン、メタルボンド、オールセラミッククラウンや、噛み合わせや適合に優れたゴールドクラウンもご用意しております。
下記をご覧の上、詳しくは当院医師・スタッフまでお尋ねください。
ハイブリッドクラウン

- 〈特徴〉
-
- 金属の裏打ちあり。
- 白く覆われた部分がハードレジンとセラミックの混合物。
- 〈メリット〉
-
- 見た目が白くてきれい
- 金属の裏打ちがあるため被せ自体は割れにくい。
- 〈デメリット〉
-
- 混合物のため白い部分が変色することがある。
- 混合物のため白い部分の強度に欠ける。
メタルボンド

- 〈特徴〉
-
- 金属の裏打ちあり。
- 白く覆われた部分が全てセラミックである。
- 〈メリット〉
-
- 艶感もありハイブリッドクラウン以上に見た目がきれい。
- セラミックで覆われているため白い部分が変色しない。
- 金属の裏打ちがあるため強度がある。
- 〈デメリット〉
-
- セラミックが硬いので噛み合わせが強い場合、噛み合わせの歯を削ってしまう。
オールセラミッククラウン

- 〈特徴〉
-
- 全てセラミックでできている。
- 白く覆われた部分が全てセラミックである。
- 〈メリット〉
-
- 金属を全く使っていないため、強い日差しの下でも差し歯であることがわかりにくい。
- メタルボンド以上に見た目がきれい。
- セラミックなので変色しない。
- 金属を使っていないため、アレルギーが少ない。
- 〈デメリット〉
-
- セラミックが硬いので噛み合わせが強い場合、噛み合わせの歯を削ってしまう。
- 金属の裏打ちがないため、噛み合わせが強い場合、割れてしまうことがある。
ゴールドクラウン

- 〈メリット〉
-
- 金は歯と同じくらいの硬さなので、噛み合わせの歯に優しい。
- お口の中の温度変化による伸び縮みも歯と同じくらいなので、歯と被せ物の間に隙間ができにくい。
- 〈デメリット〉
-
- 金色である。
神経治療
「冷たい物や熱い物がズキズキしみる」「噛むと痛い」「歯に大きく穴が開いている」といった症状があるときは、虫歯が大きく歯の神経にまで達してしまっている場合が多く、神経の治療が必要になります。
また、すでに神経治療は済んでいる歯でも、歯周ポケットや歯の隙間から細菌感染を起こして炎症や膿がある場合も再度、根の治療が必要になります。
歯の神経を取った後に根の長さを測る。
汚染された歯の根の部分を掃除してきれいにします。
根の中に薬を入れて消毒します。
消毒が終わった後に薬などを入れて密封する。
症例によっては金属の土台を入れます。
冠をかぶせます。
予防歯科
当院では、こどもも大人もその人のお口の状態に合わせて、1ヶ月~3ヶ月に1回の定期健診(メンテナンス)を行なっています。
定期健診は、治療によって得られたお口の健康を維持させ、再発を予防することが一番の目的です。
大人の定期検診
- 【定期検診の基本的な内容】
-
- 口腔内診査視診や歯周ポケット検査によって、虫歯の有無や歯周病の進行状態を診ます。
- レントゲン診査視診では見つけにくい深い所の虫歯や、骨の中の状態を診ます。
- TBI(ブラッシング指導)的確なホームケア実践のために、ブラッシング方法や歯間ブラシやフロスなどの補助器具の使い方の指導をいたします。
- スケーリング(歯石除去)超音波で汚れを浮かし・剥がす器具を使って、歯の汚れ(歯垢や歯石)を取り除き、清潔にします。
- PMTC(歯面研磨)『プロフェッショナル・メカニカル・トゥース・クリーニング』と言われるもので、専用のブラシと研磨剤を使って、着色してざらざらになった歯の表面を研磨して、歯垢の付きにくいつツルツルの歯にします。
毎日のブラッシングでは落としきれない歯垢や歯石などをしっかりと取り除き、歯を清潔な状態に保つことが大切です。
こどもの定期検診

- Q.お子様の歯を虫歯から守るためには?
-
- 3ヶ月に1回の定期健診に通うこと。
- ご家庭と医院で虫歯予防に力を入れること。
この予防に対する習慣を医院、本人、保護者の三者で行うことで、お子様の一生を通じたお口の健康維持につながります。
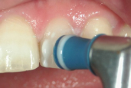
〈歯のクリーニング〉

食べ残し等の大きな汚れを歯ブラシできれいにしたあと、 専用のブラシと微粒子の研磨剤を使って、歯をツルツルに磨きます。
歯面をツルツルの状態にすることによって、虫歯にもなりにくく、また後に塗るフッ素の浸透が高まります。
〈本人と保護者の方へ指導(ブラッシング、フッ素塗布、食生活)〉

- Q.指導内容は?
- まず、磨けていない所を本人、保護者の方と一緒に確認します。
そして、各自に合ったブラッシング方法、ご家庭でのフッ素の応用などを指導します。
また、酸を作る食品を知ることや、食生活習慣の改善方法も指導します。

- Q.フッ素とは?
- 歯がフッ素イオンを取り込むことで歯質が強くなり、歯垢が酸を出しても歯が溶けにくくなります。
また、唾液中に含まれるカルシウムイオンなどのミネラルの沈着を促進し、歯の再石灰化を助けます。

- Q.フッ素を塗る方法は?
- 歯磨き後に、丸めた綿球や歯ブラシに2cm程のフッ素ジェル(医院では9,000ppmの高濃度、ご家庭では500~900ppmの低濃度)を、歯に塗ります。
その状態で、お口の中でフッ素を最低2分間は作用させます。
その後もフッ素を十分に作用させるためには、最低30分間は飲食、うがいは控えましょう。
〈シーラント〉

奥歯の噛み合わせの溝は、生えたばかりの頃は溝が深く、歯ブラシが届きにくいために汚れが溜まりやすく、虫歯になりやすいです。
その噛み合わせの溝をフッ素入りの樹脂で埋めることで、磨き残しを減らし、虫歯になりにくくする処置のことを『シーラント』といいます。
入れ歯
- 入れ歯でお困りの方へ
- 「歯がない所に入れ歯を作りたい」「今使っている入れ歯が合わない」「痛い」という方へ、新しい入れ歯を作製します。
歯のない本数や場所によってそれぞれに合った入れ歯をご提案します。
また保険の入れ歯ではなく、費用がかかってもより良い入れ歯を作りたいという方へも、患者様のご希望に合わせた入れ歯をいくつかご用意しております。
保険適用入れ歯
保険で作れる入れ歯の一例です。
部分入れ歯の場合は、バネや橋渡しの部分に金属を使用します。

自費入れ歯
歯ぐきに合ったより良い入れ歯を作りたい方へ
費用など詳しいことに関しては、当院医師またはスタッフまでお尋ねください。
ノンクラスプデンチャー(TUMデンチャー)


- メリット
-
- バネに金属を使用せず、歯ぐきと同じピンク色の樹脂で作られているため、見た目が入れ歯であることがわかりにくい。
- バネを支える部分として歯ぐきのアンダーカットを利用するので、保険の入れ歯に比べてフィット感、舌感が良く、違和感が少ない。
- 弾力性に優れているので、薄く、軽く作ることができる。
特徴

- メリット
-
- 痛みを軽減クッションがひいてあるので、生体にやさしく接し、痛みを軽減します。
- 吸着する安定しているので、お話や歌、食事なども楽しむことができます。
軽痛治療

当院では、患者さまの歯科治療に対する不安を取り除くため、麻酔注射に細い麻酔針を用いているほか、自動麻酔器を用いて軽痛治療に努めております。
人間の手で行なう注射の場合は加圧にムラがあるため、麻酔薬の注入中も痛みを伴いますが、自動麻酔器は薬の量が機械で計算されているため、痛みが軽く感じます。
※痛みには個人差があります。
口腔外科

非常勤で口腔外科専門医に来ていただいておりますので、安心して治療を受けていただくことができます。
口腔外科医 診療スケジュール
毎週水曜日 18:00~19:30
月1回土曜日(不定期) 10:00~13:30
歯周病治療
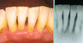
歯周病とは、一般的には歯槽膿漏とも呼ばれますが、歯周病菌によって歯ぐきが炎症を起こし、更に進行すると歯を支えている骨を溶かして、最後には歯が抜け落ちてしまうことがある病気です。

- 日本における歯周病の現状
- 現在の日本では、成人の80%が歯周病にかかっている、またはその予備軍になっていると言われていますが、そのことを自覚している人が少ないのも事実です。
まず、以下の質問の当てはまる項目にチェックをしてみてください
- 歯磨きの時に、歯ぐきから出血する。
- 硬いものを食べる時に、歯ぐきから出血する。
- 口臭を自覚、または周りの人から指摘されたことがある。
- 歯ぐきが赤く腫れ上がって、歯ブラシが当たるだけで痛い。
- 鏡で歯を見ると、以前よりも歯が長くなったように感じる。
- 歯と歯の間に食べ物がよく詰まる。
- 歯がグラグラ揺れる。
- 歯ぐきから膿が出る。
上記の項目に当てはまることがある場合、歯周病になっている可能性があります。
また、当てはまる項目が多い程、歯周病が進行している可能性が高いと言えます。
歯周病の原因は?

歯周病の原因は、「喫煙や食生活」「噛む力のアンバランス」「遺伝」「免疫力を低下させる全身疾患の有無(糖尿病など)」「ブラッシング不足」など様々ですが、 1番の大きな原因は、お口の中に存在する歯周病菌による細菌感染です。
歯周病が進行すると?

| レベル | 症状 |
|---|---|
| 軽度 | 歯ぐきに炎症が起きて、歯ブラシが当たるだけで痛みを感じたり出血します。 |
| 中度 | 口臭を自覚したり、歯を支えている骨が溶け始めるため、歯を指で押すとグラグラ揺れ始めます。 また、食べ物が詰まりやすくなったり、歯が長くなったように感じます。 |
| 重度 | さらに骨が溶けるため、食べ物が食べられないくらいまで歯が揺れ、最終的に歯が自然に抜け落ちます。 |
多くの人は、中度~重度になってから初めて歯周病だと気付きますが、 症状がひどくなった後では、歯を残すには手遅れになるので、 適切なブラッシング指導と定期健診を受けて、歯周病予防に取り組みましょう。




